







口腔外科学会認定歯科医師を中心とした
外科専門チームが直接対応
約3,000円〜
(保険3割負担)
予約抜歯、即日抜歯や
本数まで自由に選べる
日本口腔外科学会認定医
明海大学歯学部病態診断治療学講座口腔顎顔面外科
学分野2助教
日本歯科安全機構理事
医療法人社団桜尚会理事長
・顎関節
・口腔腫瘍
・舌痛
日本口腔外科学会専門医
日本口腔インプラント学会認定医
明海大学歯学部病態診断治療学講座口腔顎顔面外科
学分野1講師
・歯科インプラント
・口腔腫瘍
日本口腔外科学会認定医
・有病者歯科
・睡眠時無呼吸症候群
・顎関節疾患




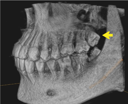
難易度が高い抜歯に対応しています。
一般歯科診療では敬遠されがちな、重要神経管(下歯槽神経管:下顎の神経と動脈・静脈が入っている管)に接する親知らず
抜く方向や角度を十分にシミュレーションして安全抜歯を心がけている。




上の親知らずには、歯並びと逸脱した方向に生えてしまうものが多くあります。
これらは、咬み合わせに悪影響を及ぼすだけでなく、周囲の歯の虫歯や歯周病の原因となってしまうことがあります。
これらを安全に抜歯することも口腔外科の仕事です。
予約(web or TEL)
初回問診・検査初回は担当医から、問診および各種エックス線(歯が深い場合にはCTをお撮りすることがございます。)などの検査を受け、抜歯に関するご説明をさせて頂きます。
検査の結果、難易度が高い場合、準備のため後日抜歯をさせて頂きます。
抜歯抜歯は約30分〜60分程度で、抜歯術をお受け頂くことが可能です。
難易度が高いものは、それ以上かかる場合がございます。
消毒・確認抜歯後約1週間程度で、消毒や術後の確認にお越し頂きます。
抜歯術で縫合を伴う場合には、抜糸も行わさせて頂きます。
要TEL予約
予約(TELのみ)当院に直接お電話にてご予約を頂き、あらかじめ抜歯の日程をご予約頂けます。WEB予約は受付ておりません。必ず直接お電話のみお願い致します。(ご予約キャンセルの場合は、以降の即日抜歯をお受けできません。通常の予約抜歯でお願い致します。)
初回問診・検査 即日抜歯抜歯当日に問診とエックス線検査等、各種検査をお受け頂き、その後当日抜歯をさせて頂きます。
お時間の目安は約60分〜90分となっております。ご予約時間前にお越し頂けない場合は、抜歯をお断りさせて頂く場合がございます。
消毒・確認抜歯後約1週間程度で、消毒や術後の確認にお越し頂きます。抜歯術で縫合を伴う場合には、抜糸も行わさせて頂きます。
腫れがひどく・痛みがひどい場合は安全を考慮して、延期させて頂くことがございます。
Reservations and inquiries
下記よりご来院予約をお取りください
※WEBは24時間受け付けております
※お電話は月~土 午前10:00~14:00、午後15:00~18:00
| 診療時間 | 月 | 火 | 水 | 木 | 金 | 土 | 日 |
|---|---|---|---|---|---|---|---|
| 10:00〜14:00 | ● | ● | ● | ● | ● | ● | × |
| 15:00〜18:00 | ● | ● | ● | ● | ● | ● | × |
※日曜・祝日…休診
〒272-0133
千葉県市川市行徳駅前2-16-1
アルファボックスビル4F
東京メトロ東西線 行徳駅 徒歩1分
【電車】東京メトロ東西線 行徳駅 徒歩1分
【お車】首都高速湾岸線 千鳥町出口7分
【バス】京成トランジットバス・市川市コミュニティバス行徳駅 徒歩1分
※駐車場はございません。近隣のコインパーキングをご利用ください。
行徳駅徒歩1分にある当院は虫歯や歯周病治療だけでなく、親知らずや顎関節症など歯科口腔外科を専門にしたドクターが在籍するクリニックです。また、飲み込みやことばの発達にも積極的に取り組んでいます。 人がひとらしく、生活を営む上で欠かすことのできない要素の一つに「口からものを食べる」という機能があります。 この機能が、病気や障がい、加齢などで低下もしくは失われることは、健康的な生活を送る上で深刻な問題です。 当院では大学講座・大学機関と連携し、一人ひとりに最適な診療を実現できる環境を整えています。 さらに、経験を積んだ歯科衛生士や歯科技工士、言語聴覚士が、患者さまのニーズに細やかにご対応いたします。 歯科口腔外科・矯正歯科・小児歯科・審美歯科・ホワイトニング・歯周病などの治療は行徳さくら歯科口腔外科クリニックにご相談ください。